✓ Organización y ultraestructura de los tejidos vasculares del floema secundario ▼
Las células del floema conducen alimento (fotosintatos producidos por la fotosíntesis) desde las hojas al resto de la planta. ⛳ Son células vivas en la madurez y en preparados histológicos coloreados con Astrablue toman el color azul. Las células del floema están ubicadas por fuera del xilema
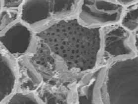
![]() |
| Corte transversal de un miembro del tubo criboso y sus célula acompañante. izq: microscopía óptica, der: microscopía electrónica de barrido. |
Los elementos cribosos de este tejido son: las células cribosas en las Gimnospermas y los miembros de tubos cribosos con sus respectivas células acompañantes en las Angiospermas. Las células acompañantes conservan sus núcleos y controlan los tubos cribosos vecinos. El alimento disuelto, como la sacarosa, circula a través de las áreas cribosas que conectan estas células entre sí.
Al ser un tejido complejo también presenta células parenquimáticas para almacenamiento y fibras y esclereidas como sostén.
El FLOEMA, llamado líber o tejido criboso, es un tejido de conducción. Su principal misión es transportar y repartir por todo el cuerpo de la planta las sustancias carbonadas producidas durante la fotosíntesis, o aquellas movilizadas desde los lugares de almacenamiento, y otras moléculas como hormonas.
El floema está formado por más tipos celulares que el xilema. Se compone de dos tipos de células: los elementos conductores y los no conductores. Los elementos conductores son los tubos o elementos cribosos y las células cribosas . Ambos tipos celulares son células vivas, aunque sin núcleo, y tienen la pared primaria engrosada con depósitos de calosa. Dentro de los elementos no conductores se encuentran las células parenquimáticas, siendo las más abundantes las denominadas células acompañantes. También se pueden encontrar células de soporte asociadas al floema, entre las que se encuentran las fibras y esclereidas.
Los tubos cribosos son típicas de las angiospermas. Son células individuales achatadas que se disponen en filas longitudinales y que se comunican entre sí mediante placas cribosas, localizadas en sus paredes transversales. Además, poseen áreas cribosas en las paredes laterales para comunicarse con los tubos cribosos contiguos y con las células parenquimáticas especializadas que los acompañan llamadas células acompañantes o anexas. Constituyen el elemento conductor mayoritario en angiospermas.
Las células cribosas son típicas de gimnospermas y pteridótas. Son células largas y de extremos puntiagudos, comunicándose entre sí lateralmente mediante grupos de campos de poros primarios que forman las áreas cribosas. Se relacionan funcional y morfológicamente con una célula parenquimática especializada llamada célula albuminífera. Constituyen el único elemento conductor del floema presente en gimnospermas.
Las células acompañantes están estrechamente asociadas a los elementos conductores del floema puesto que mantienen metabólicamente a las células cribosas y a los tubos cribosos, ya que éstos carecen de núcleos y tienen un citoplasma reducido. Por el contrario, las células acompañantes tienen un citoplasma muy rico en orgánulos que indican una alta tasa metabólica. Las células acompañantes se originan de las mismas células meristemáticas que las conductoras. En las gimnospermas las células asociadas a los elementos conductores se denominan células de Strasburguer con funciones similares a las acompañantes.
Otras células parenquimáticas funcionan como lugares de reserva de las sustantias transportadas por el propio floema. En algunas especies se encuentran en el floema otras células especializadas con función secretora.
Esquema donde se representan los principales tipos celulares del floema de una angiosperma.
El floema primario es el primer tipo de floema que aparece en los órganos en desarrollo. El protofloema es el primer floema que aparece y se forma a partir del procambium. El protofloema contiene elementos cribosos poco desarrollados en angiospermas, mientras que en gimnospermas y pteridófitas poseen células cribosas, también poco desarrolladas. Las células acompañantes son muy raras o ausentes. El metafloema sustituye rápidamente al protofloema, normalmente cuando termina la elongación del órgano, y se origina a partir del cambium fascicular. Contiene tubos cribosos y células cribosas de grosor y longitud mayores que en el protofloema y siempre tienen células acompañantes. Aparecen las placas cribosas en los tubos cribosos. Este tejido es funcional en las plantas con crecimiento primario.
El floema secundario se forma a partir del cambium vascular en plantas con crecimiento secundario. Los elementos conductores están muy desarrollados, así como las células acompañantes, aparecen tanto el parénquima axial como el radiomedular.
Fuentes: http://www.biologia.edu.ar/plantas/tejvasc.htm
http://mmegias.webs.uvigo.es/1-vegetal/guiada_v_conductores.php


